横浜市保土ヶ谷区星川の内科・胃腸科クリニックなら、医療法人 文光会 小泉クリニック

内視鏡のご案内

最新の内視鏡機器により、患者様に負担の少ない
精密な検査を提供いたします。
経験豊富な医師が、安全で確実な検査を行います。

最新型内視鏡 Olympus EVIS X1

革新的な画像技術で精密診断

最新のOlympus EVIS X1は、従来の内視鏡では見えなかった微細な病変も鮮明に描出します。 4K高画質により、より正確な診断が可能になりました。

4K高画質

低侵襲

最新型内視鏡 NBI内視鏡について

特殊光で早期発見

NBI(Narrow Band Imaging)は特殊な光を使用し、粘膜表面の微細な血管パターンや 構造変化を強調表示します。早期がんの発見率向上に大きく貢献します。

特殊光技術

早期発見

経鼻内視鏡検査について

鼻からの検査で負担軽減

経鼻内視鏡は、鼻から挿入することで嘔吐反射を軽減し、患者様の負担を大幅に軽減します。 検査中も会話が可能で、リラックスした状態で検査を受けていただけます。

負担軽減

会話可能

経口内視鏡検査について

精密な観察や組織の採取に適する

経口内視鏡は、口から挿入して食道・胃・十二指腸の粘膜を直接観察できる検査方法です。最も一般的に行われてきた内視鏡検査であり、炎症・潰瘍・ポリープ・早期がんなど幅広い病変の発見に適しています。

特殊光技術

早期発見

疾患別内視鏡画像の解説(当院で診断した一部です)

①下咽頭癌-1(経口拡大内視鏡)

  1. 弱拡大 左下咽頭(左喉の奥)にNBI画像処理で茶色に見える小さな部分を認めます。
  2. 強拡大 B1血管と呼ばれる周囲より太い血管が密集しているところが癌です。
    鏡視下下咽頭悪性腫瘍切除術で治癒、径12×11mmの扁平上皮癌と診断されました。

②下咽頭癌-2(経口拡大内視鏡)

右下咽頭(右喉の奥)にNBI画像処理で茶色に見えるわずかな隆起を認めます。
内視鏡的粘膜切除術で治癒、径10×9mmの扁平上皮癌と診断されました。

③食道癌(経鼻内視鏡)

食道癌と診断、表面凹凸不整で深達度不明のため手術治療を施行、径20×16mm、粘膜内癌でステージ0期と診断されました。

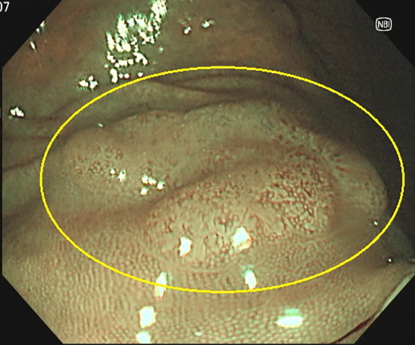
④盲腸癌(側方発育型腫瘍(LST))

  1. 大腸癌検診の便潜血陽性で内視鏡検査を施行、盲腸のヒダ上に小さな不整隆起を認めます。
  2. NBI画像処理で側方発育型腫瘍(顆粒型)径20mmを認めます。内視鏡的粘膜切除術で治癒、粘膜内癌と診断されました。

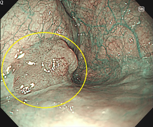
⑤大腸がん(側方発育型腫瘍(LST))

  1. 大腸ポリープ既往歴があり、定期的検査として内視鏡検査を施行、横行結腸に10mm強の表面比較的平滑な扁平隆起を認めます。
  2. NBI画像処理で表面構造の異常(周辺が均一な小円形構造に対し、不均一)を認めます。側方発育型腫瘍(非顆粒型)であり内視鏡的粘膜切除術で治癒、粘膜内癌と診断されました。

腹部超音波検査画像の解説

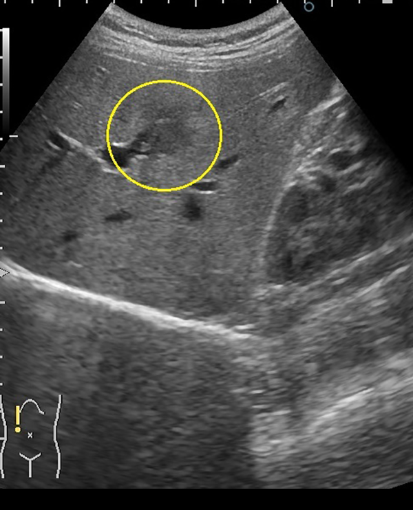
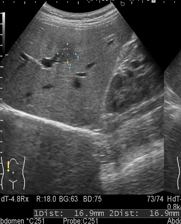
①肝内胆管癌

  1. 肝臓の中央やや上寄りに周囲より黒っぽい不整な領域を認めます。
  2. ドップラーエコーで動脈血流を認めました。
  3. この時点で径16.9×16.9mmでありステージI期と考えられます。
    このサイズで胆管癌が見つかることは非常にまれです。

内視鏡検査をご希望の方へ

ご不明な点やご心配なことがございましたら、お気軽にお問い合わせください。
専門スタッフが丁寧にご説明いたします。